Mikrowelt 2


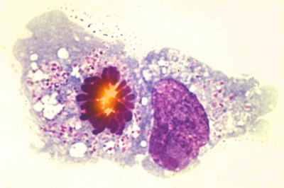
Krebszelle in Teilung

Krebszelle in Teilung Zellen eines wenig differenzierten Adenokarzinoms, die linke davon in Teilung. Die Zellen fanden sich in einem flüssigen Punktat aus einer Nasennebenhöhle. Auf Objektträger getrocknet, Giemsa-Färbung, Zentrum der Mitose nachträglich im Bild gelb gefärbt, um die Mitose besser kenntlich zu machen.


Zusätzliche Stichworte:
Krebs Adenokarzinom Teilung Zellteilung Foto Mikrofoto Mikroskop

Die Bilder sind urheberrechtlich geschützt, die Verwendung jeglicher Art ist nur mit Zustimmung von Dr. Bernhard Wiedemann, Wiesbaden, gestattet.