Mikrowelt 2


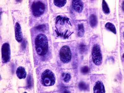
Schnitt durch eine Bohnenwurzel mit Mitosen

Schnitt durch eine Bohnenwurzel mit Mitosen Beim Schnitt durch die Bohnenwurzel sieht man etliche Mitosen. Ebenso beliebt ist in dieser Hinsicht die Zwiebel - Schnitte durch ihre Wurzelspitze werden im Bio-Unterricht gerne verwendet.


Zusätzliche Stichworte:
Wurzel Mitose Zellteilung Foto Mikrofoto Mikroskop

Die Bilder sind urheberrechtlich geschützt, die Verwendung jeglicher Art ist nur mit Zustimmung von Dr. Bernhard Wiedemann, Wiesbaden, gestattet.